교정 치료의 완성 유지장치의 역할

PERIODONTAL HEALTH & ORTHODONTICS

교정 치료의 완성
유지장치의 역할

단순히 교정 장치를 제거하는 것으로 끝나지 않습니다.
치아의 안정적인 정착을 위해 유지 전략이 필요합니다.

EVIDENCE-BASED FACT

논문으로 보는 팩트
치료 후 안정성, 유지장치가 결정짓는다

1

서울클리어교정치과 연신내점 대표원장 박지훈입니다.
교정치료는 단순히 치아를 고르게 배열하는 것으로 끝나지 않습니다.

치료 후에도 치아는 원래의 위치로 되돌아가려는 힘을 갖고 있어, 유지 관리의 중요성은 생각보다 큽니다.

교정 장치를 제거한 순간이 ‘완료’가 아니라,
안정화를 위한 새로운 시작이라고 볼 수 있습니다.

유지 장치 착용 여부는 치료 결과의 지속성과 직결되며,
이를 소홀히 하면 재교정이 필요해질 수 있습니다.

오늘은 유지장치의 핵심 정보와
안정적인 결과 유지를 위한 방법을 알아보겠습니다.

2

연구 논문 요약

“교정 치료 후 유지장치의 효과”

🔹 초기 안정성 : 고정식 유지장치는 교정 직후 6개월 이내 앞니 정렬 유지에 높은 안정성을 보입니다. 특히 하악 전치부에서 재발 방지를 위한 1차 선택지로 효과적입니다

🔹 유지 장치의 종류와 효과 : 고정형이 장기적으로 더 효율적이며,이동식 유지장치는 단기 사용에 유리하지만 환자의 협조 여부에 따라 결과가 달라질 수 있습니다.

🔹 장기적인 안정성 : 장기적으로 교정 후 유지는 유지장치 착용 기간에 비례하며, 유지장치의 착용 시간이 길어질수록 더 잘 유지됩니다.

* 결론 : 고정식 및 가철식 유지장치는
모두 교정 치료 결과를 유지하는 데 효과적입니다.
가철식 장치는 환자의 협조도가 중요하며, 반면 고정식 장치는 협조도 문제는 없지만, 주기적인 점검이 필요합니다.

Source: Tătaru N, et al. Appl Sci. 2023;13(20):11442.
WHY IT MATTERS

교정 후 치아는 왜 다시 움직일까?

교정의 완성은
‘유지’에 있습니다.

교정치료로 가지런하게 맞춰진 치아는,
그 상태를 기억하지 못합니다.

치아를 둘러싼 뼈와 인대, 연조직이 새 위치에 완전히 적응하기까지 꽤 긴 시간이 필요합니다.

하지만 교정이 끝났다는 해방감에 유지장치를 소홀히 하게 되면, 치아는 원래 있던 자리로 돌아가려는 힘,
‘회귀력’에 의해 점점 이동하게 됩니다.

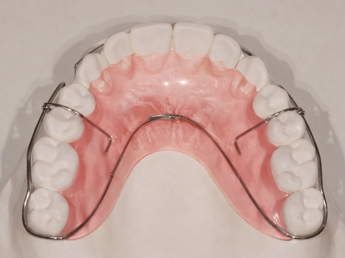
이러한 변화를 막기 위해 필요한 것이
바로 유지장치(Retainer)입니다.

유지장치는 교정으로 이동된 치아가 새로운 위치에 안정적으로 자리 잡을 수 있도록 돕는 장치로,
치료 후 일정 기간 반드시 착용해야 합니다.

조금 귀찮고 불편하더라도,
그 시간이 지나면 당신의 웃음은 더 단단해집니다.

3 본 이미지는 AI로 생성되었습니다. 4 본 이미지는 AI로 생성되었습니다.
SMART MANAGEMENT STRATEGY

안정적인 결과를 위한 4단계 생활습관

01. 교정 장치 유지장치 착용

교정 치료 후 가장 중요한 것은 유지장치를 착용하는 것이며 착용 지침을 철저히 따라야 합니다.

5 본 이미지는 AI로 생성되었습니다.

02. 정기적인 검진

정기적인 검진을 통해 잘 유지되고 있는지 확인하고, 문제가 생기기 전에 조치를 취할 수 있습니다.

6 본 이미지는 AI로 생성되었습니다.

03. 좋은 구강 위생 관리

치아가 제대로 유지되도록 하루에 여러 번 양치질하고, 치실과 구강 세정제를 사용하여 입 안을 청결하게 유지해야 합니다.

7 본 이미지는 AI로 생성되었습니다.

04. 식습관 개선

교정 치료 후 치아가 여전히 민감할 수 있기 때문에 딱딱하거나 끈적한 음식은 피하는 것이 좋습니다. 이들은 치아를 다시 이동시키는 원인이 될 수 있습니다.

8 본 이미지는 AI로 생성되었습니다.

교정 후 결과를 지키는 핵심
유지장치에 대한 꼭 알아야 할 궁금증 정리

Q. 하루라도 유지장치를 빼놓으면 재발 위험이 큰가요?
A. 하루 정도는 크게 문제되지 않을 수 있지만, 습관적인 미착용이 반복되면 치아 이동이 시작될 수 있습니다. 치아는 생각보다 민감하게 반응합니다. 특히 치료 직후 초기 유지 기간에는 하루 이틀의 미착용만으로도 치아 배열에 미세한 변화가 생길 수 있습니다.
Q. 고정식 유지장치가 떨어지면 어떻게 하나요?
A. 즉시 치과에 방문하시는 것이 가장 안전합니다. 고정식 유지장치는 앞니 안쪽에 부착되어 치아 배열을 장기적으로 안정시키는 핵심 장치입니다. 만약 일부 또는 전체가 떨어졌다면, 치아가 이동할 가능성이 생긴 상태이기 때문에 빠른 조치가 필요합니다.
Q. 고정식은 양치와 치실이 어려운데 충치 예방법은?
A. 고정식 유지장치는 양치와 치실 사용이 어려울 수 있어 충치 위험이 높아질 수 있습니다. 작은 칫솔이나 전동칫솔, 치간칫솔을 사용하고, 정기적인 스케일링으로 관리하면 예방이 가능합니다. 중요한 건 꾸준한 관리 습관입니다.
Q. 나이 들수록 재발 위험이 높아지나요?
A. 네, 성인의 경우 재발 위험이 더 높을 수 있습니다. 나이가 들수록 치아를 지지하는 뼈와 조직이 단단해져 교정 후 변화에 적응하는 데 시간이 더 오래 걸립니다. 또한 생활습관이나 잇몸 건강 등 복합적인 요인도 영향을 주기 때문에 유지장치 착용을 더 철저히 관리해야 안정적인 결과를 유지할 수 있습니다.

치료 후 안정까지 고려한

맞춤형 유지 계획을 제안합니다.

상담 예약 바로가기