입으로 숨 쉬는 습관, 구산역 치과에서 먼저 확인해야 하는 이유

구산역치과 · MOUTH BREATHING & MALOCCLUSION

입으로 숨 쉬는 습관,
구산역 치과에서 먼저 확인해야 하는 이유

코로 숨 쉬지 못하는 시간이 길어질수록,
구강 구조는 조용히 변하고 있습니다.

EVIDENCE-BASED FACT

논문으로 보는 팩트
구산역 치과 교정 전문의가 확인한
구호흡과 부정교합의 임상적 근거

구호흡 교정 상담

서울클리어교정치과 연신내점 대표원장 박지훈입니다.

“아이가 항상 입을 벌리고 있어요.
교정이랑 관계가 있나요?”

구호흡은 단순한 습관처럼 보이지만,
성장기에 장기간 지속되면
구강 구조 전반에 영향을 미칩니다.

코로 숨을 쉬면 혀가 구개에 닿아
상악 발육을 자연스럽게 지지합니다.
반면 구호흡 상태에서는
혀가 구개에서 떨어지면서
상악 폭경이 좁아지고,
치아 배열에도 영향을 줄 수 있습니다.

부정교합의 원인은 유전적 요인 외에도
기능적 요인이 복합적으로 작용합니다.
구호흡은 그 기능적 요인 중
임상적으로 주목받는 항목입니다.

오늘은 구호흡과 부정교합의 연관성에 관한
임상 연구 데이터를 바탕으로
정확한 사실을 안내해 드리겠습니다.

구호흡 부정교합 논문 근거

연구 논문 요약

구호흡과 부정교합,
과학이 말하는 연관성

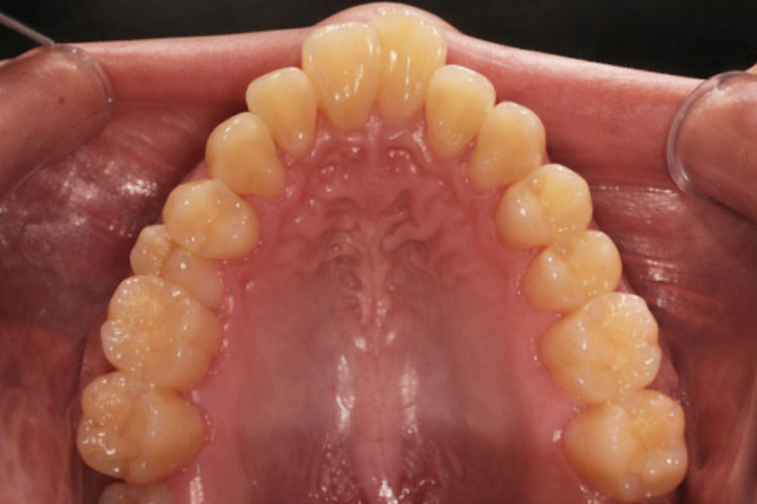
🔹 구호흡 아동에서 상악 협착 및 개방교합 발생률 증가
구호흡 습관이 있는 아동을 대상으로 한 연구에서, 비호흡 대조군에 비해 상악 치열궁 폭경이 유의미하게 좁고 개방교합 및 상악 전치부 돌출 빈도가 높게 나타났습니다. 혀 위치 변화가 상악 발육에 직접적인 영향을 미치는 것으로 분석되었습니다.

🔹 구호흡과 안면 성장 패턴의 변화
장기간 구호흡을 지속한 경우, 수직 안면 성장 패턴이 우세해지면서 긴 안모(long face syndrome), 하악 후퇴, 상악 돌출 등의 골격 변화가 동반될 수 있습니다. 이는 성장이 완료되기 전 기능 개선 개입의 필요성을 뒷받침합니다.

🔹 구호흡이 지속되면 교정 치료 안정성에 영향을 줄 수 있습니다
성장기에 구호흡이 교정 치료 중에도 지속될 경우, 근기능 불균형이 해소되지 않아 치료 결과에 영향을 줄 수 있습니다. 편도·아데노이드 절제술 등 원인 제거가 치열안면 변형의 발생을 억제하거나 역전시킬 수 있다는 근거가 보고되고 있으며, 원인 제거와 함께 교정 치료를 진행하는 것이 임상적으로 권고됩니다.

* 결론 : 구호흡은 부정교합의 원인적 요인으로 작용할 수 있으며, 교정 치료의 효과와 안정성에도 영향을 줄 수 있습니다. 기능 평가 없이 치아 배열만 교정하면 치료 후 예상치 못한 변화가 나타날 수 있습니다.

Source : The impact of mouth breathing on dentofacial development: A concise review, Frontiers in Public Health, 2022
WHY IT MATTERS

이런 경우라면 구호흡과
부정교합을 함께 살펴봐야 합니다

구산역 인근에서 많이 보이는
구호흡 관련 변화

구호흡이 지속되면 혀가 구개에서 떨어져 상악을 안쪽에서 지지하는 힘이 약해집니다. 그 결과 치열궁 폭경이 좁아지면서 치아가 들어설 공간이 부족해지고, 총생(덧니)으로 이어지는 경우가 많습니다. 이 상태에서 구호흡을 해결하지 않고 교정을 먼저 시작하면, 치료 후에도 같은 문제가 반복될 수 있습니다.

입술이 벌어진 상태가 일상적으로 유지되면 앞니가 위아래로 맞닿지 않는 개방교합이 형성되기도 합니다. 음식을 앞니로 끊기 어렵거나 특정 발음이 부정확하게 나타나는 경우라면, 구호흡과의 연관성을 함께 살펴볼 필요가 있습니다.

구호흡이 성장기 내내 지속되면 안면 골격 자체의 성장 방향에도 영향을 줄 수 있습니다. 수직 성장 패턴이 강해지면서 긴 안모, 하악 후퇴, 상악 전돌이 동반되는 경우가 이에 해당합니다. 골격 변화는 성장이 완료될수록 교정만으로 접근하기 어려워지므로, 성장기에 조기 발견하는 것이 중요합니다.

구호흡 부정교합 유형 본 이미지는 AI로 생성되었습니다. 구호흡 교정 필요성 본 이미지는 AI로 생성되었습니다.
SMART MANAGEMENT STRATEGY

혹시 나도 구호흡일까요?
구산역 치과에서 확인하는 4가지 신호

01. 입술이 자연스럽게
다물어지지 않는다

의식하지 않으면 항상 입이 벌어져 있거나, 입을 다물려고 하면 입술 주변에 힘이 들어간다면 구호흡을 의심해볼 수 있습니다. 입술이 열린 상태가 지속되면 혀의 위치가 바뀌고 치열궁 발육에도 영향을 줄 수 있습니다.

입술 이완 구호흡 신호 본 이미지는 AI로 생성되었습니다.

02. 아침에 일어나면
입안이 마르고 건조하다

수면 중 구호흡이 지속되면 구강 점막이 건조해지고 기상 시 입안이 마른 느낌이 반복됩니다. 코골이나 수면 중 입을 벌리는 습관이 함께 나타난다면 구호흡 가능성이 더 높습니다.

수면 중 구호흡 신호 본 이미지는 AI로 생성되었습니다.

03. 코가 자주 막히거나
비염이 오래된 편이다

비염, 편도·아데노이드 비대, 비중격만곡증 등 비강 기도 문제가 있으면 자연스럽게 구호흡이 습관화될 수 있습니다. 이비인후과적 원인이 해결되지 않으면 교정 치료 후에도 구호흡이 지속될 수 있습니다.

비염 구호흡 원인 본 이미지는 AI로 생성되었습니다.

04. 앞니가 맞닿지 않거나
치열이 고르지 않다

개방교합이나 총생이 있는 경우, 구호흡이 그 원인 중 하나였을 가능성이 있습니다. 치아 배열만 교정해도 개선은 되지만, 구호흡 원인을 함께 평가하지 않으면 같은 문제가 반복될 수 있습니다.

개방교합 총생 구호흡 연관 본 이미지는 AI로 생성되었습니다.

구산역 치과에서 많이 묻는
구호흡·부정교합 Q&A

Q. 구호흡이 부정교합의 원인인지 어떻게 알 수 있나요?
A. 세팔로 방사선 사진과 기도 분석, 구강 근기능 검사 등을 통해 구호흡과 부정교합의 연관성을 평가할 수 있습니다. 상악 협착, 개방교합, 수직 성장 패턴 등이 동반된 경우 구호흡의 기여도가 높을 수 있으며, 정밀 검사 후 치료 방향을 안내해 드립니다.
Q. 성인도 구호흡으로 인한 부정교합 교정이 가능한가요?
A. 가능합니다. 성장이 완료된 성인의 경우 기능성 장치를 통한 악골 확장은 제한적이지만, 구호흡 원인을 해결한 뒤 교정 치료를 진행하면 치아 배열 개선과 기능 회복을 목표로 치료를 진행할 수 있습니다.
Q. 아이가 입을 벌리고 자는데, 교정을 먼저 해야 하나요?
A. 구호흡의 원인 파악이 우선입니다. 이비인후과 협진을 통해 비강 기도 문제를 먼저 확인하고, 이후 교정 시기와 방법을 결정하는 것이 순서입니다. 원인 해결 없이 교정을 먼저 시작하면 재발 가능성이 높아질 수 있습니다.
Q. 구호흡 관련 부정교합 치료 기간은 얼마나 되나요?
A. 부정교합의 종류와 중증도, 구호흡 원인 해결 여부에 따라 달라집니다. 성장기 환자의 경우 기능성 장치와 교정 치료를 단계적으로 진행하므로 기간이 더 길어질 수 있습니다. 정밀 검사 후 구체적인 치료 일정을 안내해 드립니다.

구산역 근처에서 구호흡이 의심된다면,
치아보다 먼저 기능을 확인해 보세요.

서울클리어교정치과가
기도 분석부터 골격 평가까지,
근거 기반 교정 치료로 원인을 짚어 드립니다.

교정 상담 예약 바로가기